Вторичная имплантация: даём второй шанс
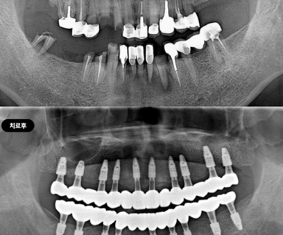
Не каждая клиника готова качественно справиться с полной реконструкцией зубного ряда. Это сложная операция, требующая системного подхода.
В нашей клинике используется цифровая система планирования, что позволяет точно спланировать место установки каждого импланта, минимизировать хирургическое вмешательство и сразу же установить индивидуальные протезы.
 1.jpg)
Сложные случаи: полная имплантация
Donec aliquam felis et libero scelerisque, at imperdiet justo sagittis. Donec accumsan convallis lorem, vel feugiat tellus eleifend sed. Duis non porttitor mauris, a suscipit odio.
Donec accumsan convallis lorem, vel feugiat tellus eleifend sed. Duis non porttitor mauris, a suscipit odio.
 1.jpg)
Примеры работ

Наши врачи

Доктор медицинских наук. Более 12 лет практики в области ортопедической стоматологии.

Специалист по имплантации и восстановлению зубного ряда. Проходил стажировку в США.

Доктор медицинских наук, эксперт по эстетической стоматологии и винирам.








