Виниры в Китае
Виниры в Китае — популярное решение для создания красивой и ровной улыбки по доступной цене. Стоматологические клиники предлагают современные методы эстетического восстановления зубов с использованием качественных материалов и цифровых технологий. Стоимость установки виниров и коронок в Китае в среднем в 2–3 раза ниже, чем в Европе или России, при сохранении высокого уровня лечения. Опытные врачи, современное оборудование и быстрые сроки делают стоматологию в Китае оптимальным выбором для тех, кто хочет получить заметный результат за короткое время.
Улыбка премиум-класса — по международным протоколам
Установка виниров проходит в сжатые сроки — полный цикл от первичного осмотра до окончательной фиксации занимает около 5 дней. Благодаря применению 3D-сканирования и цифрового моделирования результат можно увидеть ещё до начала работ, а виниры изготавливаются с высокой точностью и точной посадкой.
Какие бывают виниры
Керамические (фарфоровые)
Самый популярный вариант для эстетики: естественная прозрачность, высокая стойкость к окрашиванию, долгий срок службы.
Композитные
Из пломбировочного материала: можно сделать быстрее и обычно дешевле, но со временем чаще требуют полировки/коррекции и могут сильнее окрашиваться.
Ультратонкие
(no-prep / минимальная обточка) ставятся с минимальной обработкой эмали или без неё, но подходят только при определённых условиях (форма зубов, прикус, место в ряду).
Важно:
Виниры подходят не всем. Возможность установки определяется только после 3D-анализа (сканирование/КТ по показаниям) и цифрового планирования: врач оценивает прикус, состояние эмали и дёсен, стираемость, наличие бруксизма и другие факторы. Иногда вместо виниров рекомендуют лечение, выравнивание или другой вид реставрации, чтобы результат был безопасным и долговечным.
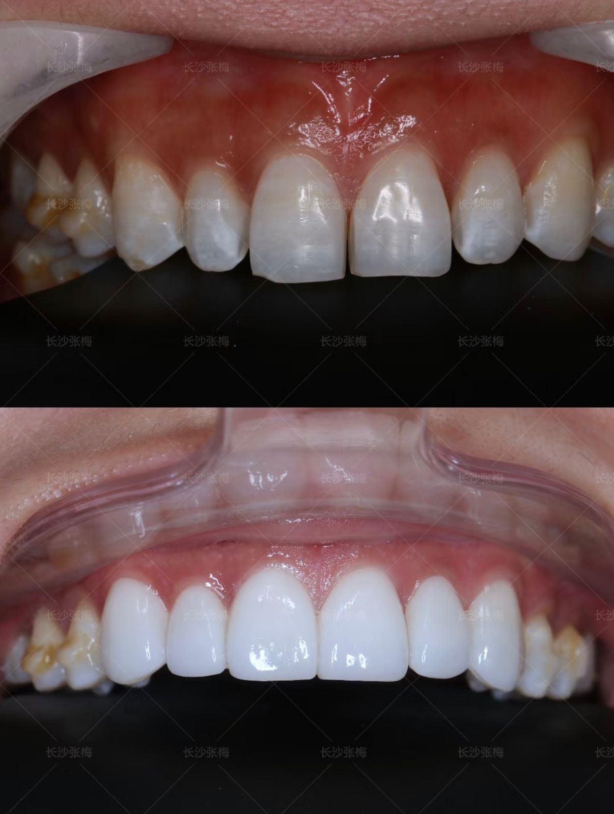
Примеры работ виниры в Китае
Комфортные зубы для повседневной жизни — быстро и без лишних затрат
Изготовление и установка за 3 дня. Бесплатная консультация врача онлайн





